您的位置: 网站首页 >> 产品中心 >> 细胞 >> 原代细胞 > HLEC;人淋巴内皮细胞(原代细胞)
产品名称:

HLEC;人淋巴内皮细胞(原代细胞)

产品型号: 产品时间: 2023-03-27
淋巴系统是免疫系统的重要组成部分。它有助于维持组织稳态,包括间质蛋白转运,组织液平衡和细胞免疫的发展。淋巴结位于淋巴系统的整个淋巴结中,含有大量的淋巴细胞,巨噬细胞和抗原呈递细胞,它们共同引发初级免疫反应[1]。皮质中的特殊HLEC;人淋巴内皮细胞(原代细胞)通过在血管内淋巴细胞循环过程中募集血管内淋巴细胞来协助初级免疫反应[2]。此外,LEC负责促进血管内淋巴细胞向网状网状结构的迁移。

产品概述

产品名称:HLEC;人淋巴内皮细胞(原代细胞)​​​

​ScienCell:2500

5×10^5个细胞/瓶

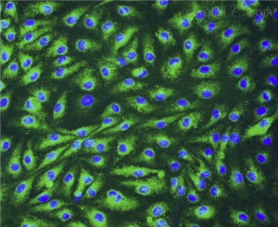
来自ScienCell研究实验室的HLEC从人淋巴结中分离出来。HLEC在*代冷冻保存并冷冻。每个小瓶含有>5×10^5个细胞,1ml体积。HLEC的特征在于用对vWF /因子VIII和CD31(PECAM)特异的抗体的免疫荧光,以及通过摄取DiI-Ac-LDL。HLEC对HIV-1,HBV,HCV,支原体,细菌,酵母和真菌均为阴性。在ScienCell研究实验室提供的条件下,HLEC保证进一步扩大10次人口倍增。​

​该产品仅供研究使用。它未被批准用于人类,动物或体外诊断程序。​

经检测无支原体、细菌、酵母和真菌污染

​​​​​​​​​​​​​​​​​​​​​​​​​​​​​​​​​​​​​​​​​​​​​​​​​​​​​​​​​​​​​​​

淋巴系统是免疫系统的重要组成部分。它有助于维持组织稳态,包括间质蛋白转运,组织液平衡和细胞免疫的发展。淋巴结位于淋巴系统的整个淋巴结中,含有大量的淋巴细胞,巨噬细胞和抗原呈递细胞,它们共同引发初级免疫反应[1]。皮质中的特殊淋巴管内皮细胞(LEC)通过在血管内淋巴细胞循环过程中募集血管内淋巴细胞来协助初级免疫反应[2]。此外,LEC负责促进血管内淋巴细胞向网状网状结构的迁移,淋巴细胞可与抗原呈递细胞相互作用[2]。LEC已被证明与慢性炎症和癌症有关[3]。​

散鳞镜鲤尾鳍细胞
鲤鱼尾鳍细胞
转化的豚鼠胎体细胞
中国仓鼠肾细胞(二氢叶酸还原酶缺陷型)
大鼠乳腺腺癌细胞系

晅科生物为研究界提供各种高质量的正常人和动物细胞,细胞培养基和试剂,基因分析工具,细胞衍生的分子生物学产品,基于细胞的检测试剂盒和干细胞产品。

​客户在细胞培养过程中,有任何技术问题可以联系售后服务

 

参考:

[1] (2001)淋巴功能,淋巴管生成和癌症转移。Microsc。RES。技术。
[2] L(1970)电子显微镜观察淋巴毛细血管和结缔组织 - 淋巴界面的结构成分。
[3] (2002)淋巴管内皮的分子表征细胞。PNAS 99:16069-16074。​​

晅科生物致力于为国内科研用户提供*质的产品,完善的服务。帮助您实验顺利。视天气状况和运输距离远近,公司与客户协商

 

1、从正常人、病人、小鼠、大鼠、兔、猪、牛等等组织中对原代细胞进行分离、培养、鉴定:我们将以客户要求为标准,提供多种属如正常人、病人、小鼠、大鼠、兔、猪、牛、其它动物原代细胞的分离、培养、鉴定,并提供相应的文件、资料、数据和检测证书。对于人源性细胞,必要时,在许可的条件下,我们尽可能的满足客户所提供的要求。

2、从建立实验性疾病动物(小鼠、大鼠、兔)模型体内组织中对原代细胞进行分离、培养、鉴定: 我们将以客户要求,建立标准实验性疾病动物模型,或客户提供实验性疾病动物模型,对原代细胞进行分离、培养、鉴定,并提供相应的文件、资料、数据和检测证书。 

​3NK、γδT、CD3AK、DC、CIK等特定免疫细胞的分离、诱导、表型鉴定、扩增和定向改造。

 

公司优势:
1)质量:我司提供的的细胞为世界ATCC和Sciencell
2)价格:价格实惠,量大从优,产品价格随时会变动,实时报价还请来电获取。
4)服务:提供完整的售前、售后和售中服务。售后到底

 

如需订购HLEC;人淋巴内皮细胞(原代细胞)​​​​​​​,请联系我们。

此外公司还提供:

昆虫细胞系
草鱼肝脏细胞
草鱼肾脏细胞
团头鲂尾鳍细胞
白鲢尾鳍细胞

留言框

  • 产品:

  • 您的单位:

  • 您的姓名:

  • 联系电话:

  • 常用邮箱:

  • 省份:

  • 详细地址:

  • 补充说明:

  • 验证码:

    请输入计算结果(填写阿拉伯数字),如:三加四=7
分享到:
版权所有©2019 上海晅科生物科技有限公司 备案号:京ICP证000000号
  • 扫一扫,关注我们