您的位置: 网站首页 >> 产品中心 >> >> 抗体 > 水通道蛋白-2抗体(Aquaporine 2)
产品名称:

水通道蛋白-2抗体(Aquaporine 2)

产品型号: 产品时间: 2023-03-08
水通道蛋白-2抗体(Aquaporine 2)该基因编码位于肾集合管的水通道蛋白。属于MIP/水通道蛋白家族,其中一些成员聚集在12q13号染色体上。该基因突变与常染色体显性和隐性性尿崩症有关。

产品概述

英文名称:Anti-Aquaporine 2​

中文名称:水通道蛋白-2抗体(Aquaporine 2)

抗体来源:兔

克隆类型:多克隆

交叉反应:人、大鼠、小鼠、狗

产品应用:WB=1:500-2000 ELISA=1:500-1000 IHC-P=1:400-800 IHC-F=1:400-800 ICC=1:100-500 IF=1:100-500 ​(石蜡切片需做抗原修复)

尚未在其他应用程序中测试。

用户终应确定合适稀释浓度。

分子量:30kDa

细胞定位:细胞浆 细胞膜

状态:冻干或液体

浓度:1mg/ml

来源于:KLH conjugated synthetic peptide derived from human AQP2.:171-271/271 <Extracellular>

亚型:IgG

纯化方法:affinity purified by Protein A

储存液:0.01M TBS(pH7.4) with 1% BSA, 0.03% Proclin300 and 50% Glycerol.

​别    名:ADH water channel; AQP 2; AQP CD; AQP2; AQPCD; Aquaporin 2 collecting duct; Aquaporin CD; Aquaporin2; Aquaporine 2; Collecting duct water channel protein; MGC34501; Water channel protein for renal collecting duct; WCH CD; WCHCD; AQP2_HUMAN.

保存条件:在-20°C下保存一年。避免重复冻融循环。冻干抗体在室温下至少稳定一个月,并在-20°C下保持一年以上。当在无菌pH7.4 0.01M PBS或抗体稀释剂中重组时,抗体在2-4°C下至少稳定两周。

产品介绍

该基因编码位于肾集合管的水通道蛋白。属于MIP/水通道蛋白家族,其中一些成员聚集在12q13号染色体上。该基因突变与常染色体显性和隐性性尿崩症有关。

 

功能:

形成水特异性通道,为肾集合管的质膜提供对水的高渗透性,从而允许水沿渗透梯度方向移动。

 

亚细胞位置:

顶端细胞膜;多道膜蛋白。胞质囊泡膜;多通道膜蛋白。

 

组织特异性:

在肾集合管中表达,属于MIP/水通道蛋白(TC1.A.8)家族。

 

翻译后修改:

SER-256磷酸化在顶膜表达是必要和充分的。内吞作用不依赖于磷酸化。

 

疾病:

aqp2缺陷是引起尿崩症肾病常染色体(andi)[mim:125800]的原因,也称为尿崩症肾病2型。肾集合管对精氨酸加压素的反应不能吸收水分,导致肾功能衰竭。其特征是过度饮水(多尿)、过度排尿(多尿)、持续性低渗尿和低钾血症。遗传可以是常染色体显性或隐性。

 

相似性:

属于mip/aquaporin(tc 1.a.8)家族。

 

重要注意事项:

本产品仅用于研究用途,不用于人类、治疗或诊断应用。

​​

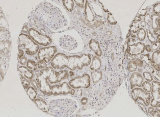
​经独立验证的抗体,由Science Direct提供的图像:福尔马林固定和石蜡包埋的人肾脏,标记有抗aqp2多克隆抗体,1:250未结合,随后接合到二级抗体和DAB染色。

公司优势:
1)质量:我司提供的的试剂为世界。
2)价格:价格实惠,量大从优。
4)服务:提供完整的售前、售后和售中服务。售后到底。

如需订购水通道蛋白-2抗体(Aquaporine 2)​​​​​​,请联系我们。

Anti-Maspin (mammary serine protease inhibitor)  抑癌基因抗体
Anti-Matriptase  蛋白裂解酶(一种新的癌基因)抗体
Anti-MBP (Myelin Basic Protein, MBP)  髓鞘碱性蛋白抗体
Anti-MCP-1 (monocyte chemotactic protein1)  巨噬细胞趋化蛋白-1抗体
Anti-M-CSF (Macrophage Colony Stimulating Factors)  巨噬细胞克隆刺激因子抗体
Anti-MDM2 (urine double minute 2)  双微体2癌基因抗体
Anti-Megsin/SER—PINB7  丝氨酸(或半胱氨酸)蛋白酶抑制剂B7抗体

留言框

  • 产品:

  • 您的单位:

  • 您的姓名:

  • 联系电话:

  • 常用邮箱:

  • 省份:

  • 详细地址:

  • 补充说明:

  • 验证码:

    请输入计算结果(填写阿拉伯数字),如:三加四=7
分享到:
版权所有©2019 上海晅科生物科技有限公司 备案号:京ICP证000000号
  • 扫一扫,关注我们