英文名称:Anti-Beta tubulin(Loading Control)
中文名称:微管蛋白β tubulin/Tubulin β单克隆抗体
抗体来源:小鼠
克隆类型:单克隆
交叉反应:人、小鼠、大鼠、鸡、狗、猪、牛、兔、羊、豚鼠、猴、昆虫、酵母
产品应用:WB=1:1000-5000 ELISA=1:5000-10000 IHC-P=1:100-500 IHC-F=1:100-500 ICC=1:100-500 IF=1:200-500(石蜡切片需做抗原修复)
分 子 量:55kDa
细胞定位:细胞浆
状态:冻干或液体
浓度:1mg/ml
来源于:KLH conjugated synthetic peptide derived from human Beta tubulin:
亚型:IgG
纯化方法:affinity purified by Protein A
储存液:0.01M TBS(pH7.4) with 1% BSA, 0.03% Proclin300 and 50% Glycerol.
别 名:Beta 4 tubulin; Beta 5 tubulin; beta Ib tubulin; Beta1 tubulin; Class I beta tubulin; M40; MGC117247; MGC16435; OK/SW cl.56; OK/SWcl.56; TBB5_HUMAN; TUBB 1; TUBB 2; TUBB 5; TUBB; TUBB1; TUBB2; TUBB5; tubulin beta 1 chain; Tubulin beta 2 chain; tubulin beta 5 chain; Tubulin beta chain; Tubulin beta class I; tubulin beta polypeptide; Tubulin beta-5 chain.
保存条件:在-20°C下保存一年。避免反复冻融。冻干抗体在室温下至少稳定一个月,并在-20°C下保持一年以上。当在无菌pH7.4 0.01M PBS或抗体稀释剂中重组时,抗体在2-4°C下至少稳定两周。
产品介绍:
这个基因编码一种β-微管蛋白。这种蛋白与α微管蛋白形成二聚体,并作为微管的结构成分。该基因突变导致皮质发育不良,复杂,伴有其他脑畸形6。选择性剪接导致多个剪接变体。在染色体1、6、7、8、9和13上有多个假基因。【参考文献2014年6月提供】
功能:
微管蛋白是微管的主要成分。它结合两摩尔的GTP,一个在β链上的可交换位点,一个在α链上的不可交换位点。
子单元:
二聚体或α和β链。可与RNabp10相互作用。与PIFO交互。与MX1交互。
亚细胞位置:
细胞质,细胞骨架。
组织特异性:
广泛表达于脾脏、胸腺和未成熟大脑中。
翻译后修改:
C端的一些谷氨酸残基发生了聚谷氨酸化。这种修饰只发生在谷氨酸残基上,并在γ-羧基上形成聚谷氨酸链。由于在人体内缺乏功能性TTLL10,因此也进行了单糖基化而不是多糖基化。单糖基化主要限于与轴突(纤毛和鞭毛)结合的微管蛋白,而谷氨酸基化在神经元细胞、中心粒、轴突和有丝分裂纺锤体中普遍存在。两种修饰都可以在相邻残基上的同一蛋白质上共存,并且降低糖基化水平会增加多谷氨酸化,并相互作用。这种修饰的精确功能尚不清楚,但它们调节轴突微管的装配和动力学(可能)。
相似之处:
属于微管蛋白家族。
重要提示:
本产品仅用于研究用途,不用于人类、治疗或诊断应用
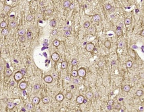
多聚甲醛固定,石蜡包埋(小鼠脑);用柠檬酸钠缓冲液(pH6.0)煮沸15min后获得抗原;用3%过氧化氢阻断内源过氧化物酶20分钟;阻断缓冲液(正常山羊血清)37℃30min;用β-微管蛋白单克隆抗体进行抗体孵育未结合的单克隆抗体在1:400在4°C下过夜,然后根据SP试剂盒(小鼠)说明和DAB染色进行操作。
公司优势:
1)质量:我司提供的的试剂为世界。
2)价格:价格实惠,量大从优。
4)服务:提供完整的售前、售后和售中服务。售后到底。
如需订购微管蛋白β tubulin/Tubulin β单克隆抗体,请联系我们。
| Anti-CK2(casein kinase 2) 酪氨酸激酶2抗体 |
| Anti-CK4 (Cytokeratin 4) 细胞角蛋白4抗体 |
| Anti-CK5 (Cytokeratin 5) 细胞角蛋白5抗体 |
| Anti-CK8(Cytokeratin 8) 细胞角蛋白8抗体 |
| anti-CKLFSF2(human)(chemokine-like factor superfamily 2) 人类新细胞因子/趋化素样因子超家族成员2抗体 |