英文名称:Anti-BMP2
中文名称:骨形态发生蛋白2抗体(BMP2)
抗体来源:兔子
克隆类型:多克隆
交叉反应:人、小鼠、大鼠、鸡、狗、牛、马、兔、羊
产品应用:WB=1:500-2000 ELISA=1:500-1000 IHC-P=1:100-500 IHC-F=1:100-500 IF=1:100-500(石蜡切片需做抗原修复)
分 子 量:13/44kDa
细胞定位:分泌型蛋白
状态:冻干或液体
浓度:1mg/ml
来源于:KLH conjugated synthetic peptide derived from human BMP2:283-365/396
亚型:IgG
纯化方法:affinity purified by Protein A
储存液:0.01M TBS(pH7.4) with 1% BSA, 0.03% Proclin300 and 50% Glycerol.
别 名:Bone morphogenetic protein 2; BMP 2; BMP 2A; BMP2A; BMP-2; BMP2_HUMAN.
保存条件:在-20°C下保存一年。避免反复冻融。冻干抗体在室温下至少稳定一个月,并在-20°C下保持一年以上。当在无菌pH7.4 0.01M PBS或抗体稀释剂中重组时,抗体在2-4°C下至少稳定两周。
产品介绍:
bmp2属于分泌生长因子转化生长因子β(tgfb)超家族。它是一种二硫键联的同二聚体并诱导骨和软骨形成。除了成骨活性外,BMP2在心脏形态发生中起着重要作用,并在肺、脾、脑、肝、前列腺卵巢和小肠等多种组织中表达。BMP2的功能形式是一种26kDa的蛋白质,由两条相同的114氨基酸多肽链组成,通过一个二硫键连接。BMP控制胚胎早期发育、器官发生和成人组织内稳态的基本事件。
功能:
诱导软骨和骨形成。
子单元:
同二聚体;二硫键。与SOSDC1交互。与grem2、rgma、rgmb和rgmc交互。与ASPN交互。
亚细胞位置:
秘密的。
组织特异性:
特别是肺、脾和结肠中含量丰富,心脏、大脑、胎盘、肝脏、骨骼肌、肾脏、胰腺、前列腺、卵巢和小肠中含量低但显著。
重要提示:
本产品仅用于研究用途,不用于人类、治疗或诊断应用
神经干细胞标志物
BMP-2主要对未分化间充质细胞和骨系细胞起到募集和分化作用。在骨形成早期,BMP-2不仅可使未分化间质细胞向骨形成中心募集,并分化为骨系细胞,而且可使成纤维细胞、成肌细胞及骨髓的基细胞逆转分化为骨系细胞。其主要过程是:增加或抑制这些细胞内的某些特异性蛋白的分泌,使成纤维细胞分化为成骨细胞,成肌细胞快速分化为肥大的软骨细胞,并促进基质钙化。
对于成骨细胞,BMP-2则可使之维持其*细胞表型,并诱导成骨细胞标志物的增高,促进细胞外基质钙化。在骨形成后期,BMP-2还作为一种破骨细胞分化因子与其它支持破骨细胞分化因子直接或间接刺激破骨细胞分化,参与骨的重建。
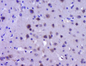
多聚甲醛固定,石蜡包埋(小鼠脑);用柠檬酸钠缓冲液(pH6.0)煮沸15min后获得抗原;用3%过氧化氢阻断内源过氧化物酶20分钟;阻断缓冲液(正常山羊血清)37℃30min;用BMP2多克隆抗体进行抗体孵育Tibody,未结合,1:400,4°C下过夜,然后根据SP试剂盒(兔子)说明和DAB染色进行操作。
公司优势:
1)质量:我司提供的的试剂为世界。
2)价格:价格实惠,量大从优。
4)服务:提供完整的售前、售后和售中服务。售后到底。
如需订购骨形态发生蛋白2抗体(BMP2),请联系我们。
| Anti-GAD-65 (glutamate decarboxylase) 谷氨酸脱羧酶-65抗体(C端多肽) | 
| Anti-Galanin 神经节肽抗体“甘丙肽” | 
| Anti-Galectin-3 半乳糖凝集素-3抗体 | 
| Anti-GAP-43 ( Growth associated protein-43 ) 神经生长相关蛋白-43(抗体) | 
| Anti-GAPDH (Ribbt Anti-glyceraldehyde-3-phosphate Dehydrogease ) 3-磷酸甘油醛脱氢酶 | 
| Anti-GAPDH (Ribbt Anti-glyceraldehyde-3-phosphate Dehydrogease )humanAnti-GAPDH (Ribbt Anti-glyceraldehyde-3-phosphate Dehydrogease )human 3-磷酸甘油醛脱氢酶(人) |