英文名称:Anti-BCAT2
中文名称:支链氨基酸转氨酶2抗体(BCAT2)
抗体来源:兔子
克隆类型:多克隆
交叉反应:人,小鼠,老鼠
产品应用:WB=1:500-2000 ELISA=1:500-1000 IHC-P=1:100-500 IHC-F=1:100-500 IF=1:100-500(石蜡切片需做抗原修复)
分 子 量:41kDa
细胞定位:细胞浆
状态:冻干或液体
浓度:1mg/ml
来源于:KLH conjugated synthetic peptide derived from human BCAT2/BCAM:101-200/392
亚型:IgG
纯化方法:affinity purified by Protein A
储存液:0.01M TBS(pH7.4) with 1% BSA, 0.03% Proclin300 and 50% Glycerol.
别 名:BCAM; BCAT 2; BCATM; BCT2; Branched chain aminotransferase 2, mitochondrial; ECA40; Placental protein 18; PP18.
保存条件:在-20°C下保存一年。避免反复冻融。冻干抗体在室温下至少稳定一个月,并在-20°C下保持一年以上。当在无菌pH7.4 0.01M PBS或抗体稀释剂中重组时,抗体在2-4°C下至少稳定两周。
产品介绍:
四类磷酸吡哆醛依赖性转氨酶家族成员eca39和bcat2都是催化必需支链氨基酸缬氨酸、亮氨酸和异亮氨酸分解代谢*反应的酶。eca39,也被称为bcat1(支链氨基酸转氨酶1,细胞溶质),定位于细胞质,在那里形成一个同二聚体。eca39在胚胎发生时在大脑和肾脏中表达,在c-myc诱导的肿瘤中过表达。BCAT2(支链氨基酸转氨酶2,线粒体),也称为胎盘蛋白18(pp18),通过选择性剪接产生两种亚型。BCAT2的*个亚型,即BCAT2A,在线粒体中表达,而第二个亚型,即BCAT2B,在细胞质中表达。广泛表达的bcat2也被认为是支链α-酮酸的转运蛋白。
功能:
催化必需支链氨基酸亮氨酸、异亮氨酸和缬氨酸分解代谢的*反应。也可以作为支链α-酮酸的转运子。
子单元:
属于四类磷酸吡哆醛依赖性转氨酶家族。
亚细胞位置:
细胞质和线粒体。
组织特异性:
无处不在的。
相似性:
属于四类磷酸吡哆醛依赖性转氨酶家族。
重要提示:
本产品仅用于研究用途,不用于人类、治疗或诊断应用
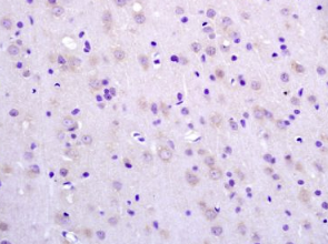
组织/细胞:大鼠脑组织;4%多聚甲醛固定石蜡包埋;
抗原提取:柠檬酸缓冲液(0.01M,pH 6),15min煮沸,用3%过氧化氢阻断内源性过氧化物酶30min;37℃下阻断缓冲液(正常山羊血清)20 min;
孵育:抗BCAT2/BCAM多克隆抗体,未结合1:200,4℃过夜,然后与二级抗体结合,DAB染色。
公司优势:
1)质量:我司提供的的试剂为世界。
2)价格:价格实惠,量大从优。
4)服务:提供完整的售前、售后和售中服务。售后到底。
如需订购支链氨基酸转氨酶2抗体(BCAT2),请联系我们。
| Anti-HGV(Hepatitis G vivus) 庚型肝炎病毒抗体 | 
| Anti-HHV4/EBV(Human herpesvirus 4 type 2/epstein-barr virus ) 人类疱疹病毒4抗体 | 
| Anti-HHV8/ORF K2/vIL-6(Human herpesvirus 8) 人类疱疹病毒8抗体 | 
| Anti-HHV8/ORF50(Human herpesvirus 8 type P) 人类疱疹病毒8抗体 |