英文名称:Anti-BAMBI
中文名称:肿瘤转移抑制蛋白BAMBI抗体
抗体来源:兔子
克隆类型:多克隆
交叉反应:人、小鼠、大鼠、狗、猪、牛、兔、羊、豚鼠
产品应用:WB=1:500-2000 ELISA=1:500-1000 IHC-P=1:100-500 IHC-F=1:100-500 ICC=1:100-500 IF=1:100-500(石蜡切片需做抗原修复)
分 子 量:27kDa
细胞定位:细胞膜
状态:冻干或液体
浓度:1mg/ml
来源于:KLH conjugated synthetic peptide derived from human BAMBI:101-200/260 <Extracellular>
亚型:IgG
纯化方法:affinity purified by Protein A
储存液:0.01M TBS(pH7.4) with 1% BSA, 0.03% Proclin300 and 50% Glycerol.
别 名:BAMBI; BAMBI_HUMAN; BMP and activin membrane bound inhibitor homolog; BMP and activin membrane-bound inhibitor homolog; NMA; Non metastatic gene A protein; Non-metastatic gene A protein; Putative transmembrane protein NMA.
保存条件:在-20°C下保存一年。避免反复冻融。冻干抗体在室温下至少稳定一个月,并在-20°C下保持一年以上。当在无菌pH7.4 0.01M PBS或抗体稀释剂中重组时,抗体在2-4°C下至少稳定两周。
产品介绍:
bambi是一种跨膜糖蛋白,在发育过程中作为TGF-β信号的负调节因子。Bambi蛋白家族与I型TGF-β受体家族有关,然而,Bambi是一种缺乏细胞内丝氨酸/苏氨酸激酶域的假受体。bambi转录调控受β-连环蛋白、BMP、Smad3和Smad4的影响。与非癌组织相比,bambi在结直肠癌和肝细胞癌中的表达可能增加。bambi在牙齿发育过程中高水平表达。bambi在早期非洲爪蟾胚胎发生过程中与BMP-4共存,在转移性差的人类黑色素瘤细胞系中可以检测到。
功能:
负性调节TGFβ信号。
亚细胞位置:
薄膜。
组织特异性:
高表达于肾髓质、胎盘和脾脏;低表达于肾皮质、肝脏、前列腺和肠道。正常皮肤不表达,黑色素细胞表达高,11例黑色素瘤转移中有3例被检测。
相似性:
属于BAMBI家族。
重要提示:
本产品仅用于研究用途,不用于人类、治疗或诊断应用
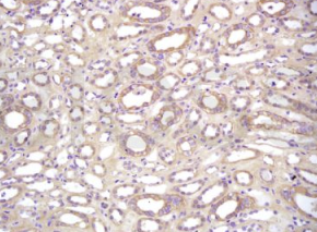
组织/细胞:人体肾组织;4%多聚甲醛固定石蜡包埋;
抗原提取:柠檬酸缓冲液(0.01M,pH 6),15min煮沸,用3%过氧化氢阻断内源性过氧化物酶30min;37℃下阻断缓冲液(正常山羊血清)20 min;
孵育:抗Bambi多克隆抗体,未结合1:200,在4°C下过夜,然后接合二级抗体和DAB染色。
公司优势:
1)质量:我司提供的的试剂为世界。
2)价格:价格实惠,量大从优。
4)服务:提供完整的售前、售后和售中服务。售后到底。
如需订购肿瘤转移抑制蛋白BAMBI抗体,请联系我们。
| anti-IAP-5(inhibitors of apoptosis protein-5) 凋亡抑制因子5抗体 | 
| Anti-IASPP(inhibitory member of the ASPP family) 肿瘤细胞凋亡ASPP家族的另一个成员抗体 | 
| Anti-ICAD(Inhibitor of Caspase-Activated Dnase ) Caspase 激活的脱氧核糖核酸酶抑制剂 | 
| Anti-IDE(Insulin degradation enzyme) 胰岛素降解酶抗体 | 
| Mouse Anti-influenza A virus nucleoprotein Monoclonal(Flu-A) 鼠抗人禽流感A核蛋白单克隆抗体 |