英文名称:Anti-BRD8
中文名称:甲状腺激素受体共激活蛋白抗体(BRD8)
抗体来源:兔子
克隆类型:多克隆
交叉反应:人、小鼠、大鼠、狗、猪、牛、马、羊
产品应用:WB=1:500-2000 ELISA=1:500-1000 IHC-P=1:100-500 IHC-F=1:100-500 IF=1:100-500 (石蜡切片需做抗原修复)
分 子 量:135kDa
细胞定位:细胞核
状态:冻干或液体
浓度:1mg/ml
来源于:KLH conjugated synthetic peptide derived from human BRD8:331-430/1235
亚型:IgG
纯化方法:affinity purified by Protein A
储存液:0.01M TBS(pH7.4) with 1% BSA, 0.03% Proclin300 and 50% Glycerol.
别 名:BRD8; Bromodomain containing 8; p120; Skeletal muscle abundant protein 2; Skeletal Muscle Abundant Protein; SMAP; SMAP2; Thyroid hormone receptor coactivating protein 120kDa; Thyroid Hormone Receptor Coactivating Protein; BRD8_HUMAN.
保存条件:在-20°C下保存一年。避免反复冻融。冻干抗体在室温下至少稳定一个月,并在-20°C下保持一年以上。当在无菌pH7.4 0.01M PBS或抗体稀释剂中重组时,抗体在2-4°C下至少稳定两周。
产品介绍:
该基因编码的蛋白质以配体依赖的方式与甲状腺激素受体相互作用,并从甲状腺反应元件增强甲状腺激素依赖性激活。这种蛋白含有一个溴域,被认为是一个核受体辅活化子。已经鉴定出三种编码不同亚型的选择性剪接转录变体。
功能:
在激素激活核受体(nr)的转录激活过程中,BRD8可能起到协同激活的作用。亚型2通过ar/dhtr、esr1/nr3a1、rxra/nr2b1和thrb/erba2刺激转录激活。至少亚型1和亚型2是nua4组蛋白乙酰转移酶(hat)复合物的组成部分,该复合物主要通过核糖体组蛋白h4和h2a的乙酰化作用参与选择基因的转录激活。这种修饰可能改变核糖体-DNA的相互作用,也可能促进核糖体-DNA的相互作用。e修饰组蛋白与其他积极调节转录的蛋白质的相互作用。这种复合物可能需要激活与癌基因和原癌基因介导的生长诱导、肿瘤抑制介导的生长停滞和复制衰老、凋亡和DNA修复相关的转录程序。当被招募到DNA损伤部位时,nua4也可能在DNA修复中起到直接作用。与myc和腺病毒E1a蛋白相互作用。
子单元:
包含催化亚单位kat5/tip60和亚单位ep400、trrap/paf400、brd8/smap、epc1、dmap1/dnmap1、ruvbl1/tip49、ruvbl2、ing3、actin、actl6a/baf53a、morf4l1/mrg15、morf4l2/mrgx、mrgp、yeats4/gas41、vps72/yl1和meaf6的nu4组蛋白乙酰转移酶复合物的成分。nua4复合物与myc和腺病毒E1a蛋白相互作用。包含EP400、TRRAP/PAF400、SRCAP、BRD8/SMAP、EPC1、DMAP1/DNMAP1、RUVBL1/TIP49、RUVBL2、actin、actl6a/baf53a、VPS72和Yeats4/Gas41的Nua4相关复合体的组成部分。brd8亚型2与rxra/nr2b1和thrb/erba2相互作用
亚细胞位置:
原子核。
组织特异性:
在脂肪组织、大脑、心脏、肾脏、肝脏、肺、胰腺、胎盘和骨骼肌中表达。
相似性:
包含2个bromo domains。
重要提示:
本产品仅用于研究用途,不用于人类、治疗或诊断应用
 
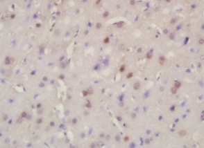
组织/细胞:大鼠脑组织;4%多聚甲醛固定石蜡包埋;
抗原提取:柠檬酸缓冲液(0.01M,pH 6),15min煮沸,用3%过氧化氢阻断内源性过氧化物酶30min;37℃下阻断缓冲液(正常山羊血清)20 min;
孵育:抗BRD8多克隆抗体,未结合1:200,4°C下过夜,然后与二级抗体结合,DAB染色。
公司优势:
1)质量:我司提供的的试剂为世界。
2)价格:价格实惠,量大从优。
4)服务:提供完整的售前、售后和售中服务。售后到底。
如需订购甲状腺激素受体共激活蛋白抗体(BRD8),请联系我们。
| Anti-Osx (Osterix) 成骨相关转录因子抗体 | 
| anti-Os05g/0477200 protein 抗水稻白叶枯病菌Os05g0477200蛋白抗体 | 
| anti-OTR(oxytocin receptor) 缩宫素受体抗体 | 
| Anti-OVA 鸡卵白蛋白/卵清蛋白抗体 | 
| Anti-OXR (Orexin receptor) 食欲素受体抗体 | 
| Anti-P14ARF 抑癌基因p14抗体 |