英文名称:Anti-Beta catenin
中文名称:β-连环蛋白/β-连环素/β链接素抗体
抗体来源:兔子
克隆类型:多克隆
交叉反应:人、小鼠、大鼠、鸡、狗、猪、牛、马、兔、斑马鱼、绵羊
产品应用:WB=1:500-2000 ELISA=1:500-1000 IHC-P=1:100-500 IHC-F=1:100-500 ICC=1:100-500 IF=1:100-500(石蜡切片需做抗原修复)
分 子 量:86kDa
细胞定位:细胞浆 细胞膜
状态:冻干或液体
浓度:1mg/ml
来源于:KLH conjugated synthetic peptide derived from human Beta catenin:701-781/781
亚型:IgG
纯化方法:affinity purified by Protein A
储存液:0.01M TBS(pH7.4) with 1% BSA, 0.03% Proclin300 and 50% Glycerol.
别 名:beta-catenin; beta catenin; CTNNB1; CHBCAT; CTNNB1; CTNNB; PRO2286; Cadherin associated protein; Catenin (cadherin associated protein), beta 1, 88kDa; Catenin beta 1; Catenin beta-1; CATNB; CTNB1_HUMAN; CTNNB; CTNNB1; DKFZp686D02253; FLJ25606; FLJ37923; b-catenin; OTTHUMP00000162082; OTTHUMP00000165222; OTTHUMP00000165223; OTTHUMP00000209288; OTTHUMP00000209289; Catenin-β; Catenin β.
保存条件:在-20°C下保存一年。避免反复冻融。冻干抗体在室温下至少稳定一个月,并在-20°C下保持一年以上。当在无菌pH7.4 0.01M PBS或抗体稀释剂中重组时,抗体在2-4°C下至少稳定两周。
产品介绍:
这个基因编码的蛋白质是构成粘附连接(ajs)的蛋白质复合体的一部分。ajs是通过调节细胞生长和细胞间粘附来创造和维持上皮细胞层的必要条件。编码蛋白也锚定肌动蛋白细胞骨架,并可能负责传递接触抑制信号,一旦上皮层完成,导致细胞停止分裂。后,这种蛋白与APC基因的产物结合,APC基因在结肠腺瘤息肉病中突变。该基因突变是结直肠癌(CRC)、毛瘤(PTR)、髓母细胞瘤(MDB)和卵巢癌的病因。该基因有三个编码相同蛋白质的转录变体。
功能:
典型Wnt信号通路的关键下游成分。在没有Wnt的情况下,与axin1、axin2、apc、csnk1a1和gsk3b形成复合物,促进N末端ser和thr残基的磷酸化,并通过btrc泛素化ctnnb1及其随后被蛋白酶体降解。在Wnt配体存在下,CTnnb1不泛素化并在细胞核内聚集,在那里作为TCF/LEF家族转录因子的共激活因子,从而激活Wnt反应基因。参与细胞粘附的调节。充当中心体内聚的负调节器。参与胰岛素内化的cdk2/ptpn6/ctnnb1/ceacam1途径。阻断恶性肾脏和肠上皮细胞的失活,通过下调DAPK2促进其锚定独立生长。通过抑制ranbp2介导的pml的苏门化,破坏pml功能和pml-nb的形成。
子单元:
细胞质中有两个独立的复杂相关池。大多数是作为E-钙粘蛋白/连环蛋白粘附复合物的组成部分存在的,该复合物至少由E-钙粘蛋白/cdh1和β-连环蛋白/ctnnb1以及可能的α-连环蛋白/ctnna1组成;该复合物位于粘附连接处。ctna1的稳定结合是有争议的,因为ctna1在复合物中组装时不与f-肌动蛋白结合。或者,含有ctnna1的复合物可通过其它蛋白质如lima1与f-肌动蛋白连接。另一个细胞质池是含有axin1、axin2、apc、csnk1a1和gsk3b的大复合体的一部分,它促进N末端ser和thr残基的磷酸化,并通过btrc促进ctnnb1的泛素化及其随后被蛋白酶体降解。dvl的Wnt依赖性激活对抗GSK3b的作用,当GSK3b活性被抑制时,复合物离解,CTnnb1被脱去磷酸化,不再以破坏为目标。稳定蛋白转运到细胞核,结合TCF/LEF-1家族成员、TBP、BCL9,也可能结合RUVBL1和CHD8。绑定ctnnbip和ep300。ctnnb1与lef1和ep300形成三元复合物,被ctnnbip1结合(通过相似性)破坏。与tax1bp3相互作用(通过pdz域);这种相互作用抑制ctnb1的转录活性(通过相似性)。与ajap1、baiap1、carm1、ctnna3、cxadr和pcdh11y相互作用,结合slc9a3r1。与glis2和muc1相互作用。与SLC30A9交互。与XIRP1相互作用(通过相似性)。直接与axin1相互作用;通过axin1的cdk2磷酸化(通过相似性)调节相互作用。与scrib交互(通过相似性)。与ptpru相互作用(通过细胞质聚膜结构域)。与EMD交互。与tnik和tcf7l2相互作用。与SESTD1和TRPC4相互作用。与CAV1交互。与trpv4交互。trpv4和ctnnb1复合物可以与cdh1相互作用。与VCL相互作用(通过相似性)。与PTPRJ相互作用。与pkt7和cdk2相互作用。(通过胞质结构域)与Fat1相互作用(通过相似性)。与na和ndrg2相互作用。与nek2亚型1相互作用。与CDK5的亚型1和亚型2相互作用。与PTK6交互。与SOX7相互作用;这种相互作用可能导致活性CTNNB1的蛋白酶体降解,从而抑制Wnt/β-连环蛋白刺激的转录。在含有Hint1和Mitf的复合体中鉴定。与fhit交互。CTNNB1和TCF4复合物与PML(亚型PML-4)相互作用。与fermt2相互作用。在含有TCF4和FERMT2的复合体中鉴定。
重要提示:
本产品仅用于研究用途,不用于人类、治疗或诊断应用
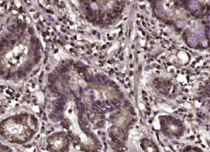
多聚甲醛固定,石蜡包埋(人胃癌);经柠檬酸钠缓冲液(pH6.0)煮沸15min后恢复抗原;用3%过氧化氢阻断内源性过氧化物酶20分钟;阻断缓冲液(正常山羊血清)37℃30min;用β-钙抗体孵育Tenin)多克隆抗体,未结合,1:400,4°C下过夜,然后根据SP试剂盒(兔子)说明和DAB染色进行操作。
公司优势:
1)质量:我司提供的的试剂为世界。
2)价格:价格实惠,量大从优。
4)服务:提供完整的售前、售后和售中服务。售后到底。
如需订购β-连环蛋白/β-连环素/β链接素抗体,请联系我们。
| Anti-Cdkn1c/p57/Kip2 (Cyclindependent kinase inhibitor 1C) 周期蛋白依赖激酶抑制因子1C抗体 |
| Anti-CDR/YKL-40(cartilage glycoprotein,HCgp39) 软骨糖蛋白39抗体 |
| Anti-CEA (CaYTinoembryonic Antigen ) 人癌胚抗原抗体 |
| Anti-CEAcam8/CD67 (caYTinoembryonic antigen-related cell adhesion molecule 8) 癌胚抗原相关细胞粘附分子8抗体 |