您的位置: 网站首页 >> 产品中心 >> >> 抗体 > 连环蛋白β1(β-catenin)抗体
产品名称:

连环蛋白β1(β-catenin)抗体

产品型号: 产品时间: 2023-03-08
细胞粘附蛋白(Call Adhesion Protein)
β连环素蛋白catenin β是一种多功能的蛋白质,连环蛋白β1(β-catenin)抗体具有参与细胞粘附和介导信号转导的双重功能,并与肿瘤的发生发展及浸润密切相关。在正常个体中,catenin-β和钙黏蛋白形成复合体,介导同型细胞的粘附,维持细胞的稳定。

产品概述

英文名称:Anti-Beta catenin​

中文名称:连环蛋白β1(β-catenin)抗体

抗体来源:兔子

克隆类型:多克隆

交叉反应:人、鼠、鼠、鸡、猪、牛、兔、羊、斑马鱼​

产品应用:WB=1:500-2000 ELISA=1:500-1000 IHC-P=1:100-500 IHC-F=1:100-500 Flow-Cyt=1μg/Test IF=1:100-500(石蜡切片需做抗原修复)

分  子 量:9.5/86kDa

​细胞定位:细胞核 细胞浆 细胞膜

状态:冻干或液体

浓度:1mg/ml

来源于:KLH conjugated synthetic peptide derived from human Beta catenin:661-781/781

亚型:IgG

纯化方法:affinity purified by Protein A

储存液:0.01M TBS(pH7.4) with 1% BSA, 0.03% Proclin300 and 50% Glycerol.

别    名:beta-catenin; beta catenin; CTNNB1; CHBCAT; CTNNB1; CTNNB; PRO2286; Cadherin associated protein; Catenin (cadherin associated protein), beta 1, 88kDa; Catenin beta 1; Catenin beta-1; CATNB; CTNB1_HUMAN; CTNNB; CTNNB1; DKFZp686D02253; FLJ25606; FLJ37923; b-catenin; OTTHUMP00000162082; OTTHUMP00000165222; OTTHUMP00000165223; OTTHUMP00000209288; OTTHUMP00000209289; Catenin-β; Catenin β.

保存条件:在-20°C下保存一年。避免反复冻融。冻干抗体在室温下至少稳定一个月,并在-20°C下保持一年以上。当在无菌pH7.4 0.01M PBS或抗体稀释剂中重组时,抗体在2-4°C下至少稳定两周。

 

​产品介绍:

细胞质。原子核。细胞质,细胞骨架。细胞连接,粘附连接。细胞连接。细胞膜。细胞质,细胞骨架,中心体。细胞质,细胞骨架,纺锤极。注=不稳定(磷酸化水平高)或结合到CDH1时的细胞质。稳定后转移到细胞核(磷酸化水平低)。与glis2和muc1的相互作用促进核易位。与EMD的相互作用抑制核定位。大部分β-连环蛋白定位于细胞膜。在间期,中心粒近端的CEP250点状突起与CROC共定,这种定位依赖于CROC和CEP250。在有丝分裂中,当nek2活性增加时,它定位于纺锤极的中心体,与crocc无关。在未分化和分化的神经母细胞瘤细胞的细胞接触和质膜中与CDK5共定位。

 

组织特异性:

表达于几种毛囊细胞类型:基底和外周基质细胞,以及内外根鞘细胞。以结肠表达。存在于皮质神经元(蛋白质水平)。

 

翻译后修改:

AMPK在ser-552处的磷酸化促进蛋白质的稳定,增强TCF/LEF介导的转录。GSK3b的磷酸化需要另一个激酶预先磷酸化Ser-45。然后磷酸化从THR-41到SER-37和SER-33。被nek2磷酸化。EGF刺激酪氨酸磷酸化。Tyr-654上的磷酸化降低了CDH1结合并增强了tbp结合。通过hipk2在ser-33和ser-37上磷酸化。这种磷酸化引起蛋白酶体降解。通过cdk5在ser-191和ser-246上磷酸化。CDK2磷酸化调节胰岛素内化。在Tyr-64、Tyr-142、Tyr-331和/或Tyr-333处通过ptk6进行磷酸化,其主要位点在Tyr-64处,对于抑制转录活性并不必要。

当GSK3b磷酸化时,被scf(btrc)e3连接酶复合物泛素化,导致其降解。泛素被含有ube2d1、siah1、cacybp/sip、skp1、apc和tbl1x的e3泛素连接酶复合物泛素化,导致其随后的蛋白酶体降解。

附着体连接处cys-619处的s-亚硝基化通过破坏与e-钙粘蛋白的相互作用,促进血管内皮生长因子诱导的、无依赖性的内皮细胞通透性,从而介导解体附着体连接。

 

疾病:

结直肠癌(CRC)【MIM:114500】:一种复杂的疾病,以大肠(结肠)内壁和直肠的恶性病变为特征。遗传改变通常与从癌前病变(腺瘤)到侵袭性腺癌的进展有关。结肠癌和直肠癌的危险因素包括结肠息肉、长期溃疡性结肠炎和遗传家族史。注=此条目中所代表的基因可能与疾病发病机制有关。

注= CTNNB1的激活突变具有致癌活性,导致肿瘤发展。体细胞突变存在于各种肿瘤类型中,包括结肠癌、卵巢和前列腺癌、肝母细胞瘤(HB)、肝细胞癌(HCC)。hbs是一种恶性胚胎肿瘤,主要影响幼儿在出生后的前三年。

毛瘤(PTR)【MIM:132600】:常见的良性皮肤肿瘤。注=该疾病是由影响本条所述基因的突变引起的。

髓母细胞瘤(mdb)【mim:155255】:小脑的恶性侵袭性胚胎瘤,在儿童中有优先表现。注=此条目中所代表的基因可能与疾病发病机制有关。

卵巢癌(OC)【MIM:167000】:卵巢癌一词定义了源自卵巢组织的恶性肿瘤。虽然许多组织学类型的卵巢肿瘤已被描述,上皮性卵巢癌是常见的形式。卵巢癌通常是无症状的,*的症状和体征,甚至是晚期疾病,都是模糊的。因此,大多数患者被诊断为晚期疾病。注=疾病易感性与影响本条所述基因的变异有关。

注=涉及CTNNB1的染色体畸变见于唾液腺多形性腺瘤,唾液腺常见的良性上皮肿瘤。与plag1易位t(3;8)(p21;q12)。

间皮瘤,恶性(间皮瘤)【mim:156240】:胸部浆膜衬里的侵袭性肿瘤。它表现为广泛的细胞片,一些区域含有梭形、肉瘤样细胞,其他区域显示腺瘤样。胸膜间皮瘤与接触石棉有关。注=此条目中所代表的基因可能与疾病发病机制有关。

 

相似性:

属于β-连环蛋白家族。

包含12个手臂重复。

 

重要提示:

本产品仅用于研究用途,不用于人类、治疗或诊断应用

​细胞粘附蛋白(Call Adhesion Protein)
β连环素蛋白catenin β是一种多功能的蛋白质,能链接E-N-,钙粘附分子具有参与细胞粘附和介导信号转导的双重功能,并与肿瘤的发生发展及浸润密切相关。
在正常个体中,catenin-β和钙黏蛋白形成复合体,介导同型细胞的粘附,维持细胞的稳定;同时,cateninβ作为Wnt/β-catenin信号通路的关键成员在介导信号转导过程中调控细胞的增殖和凋亡。
在恶性肿瘤中,β连环素蛋白的表达呈现明显的异质性,促使细胞异常增殖,还可使细胞之间的黏附性减弱,侵袭性增强。

​​​​​​​​​

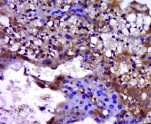
多聚甲醛固定,石蜡包埋(小鼠胎盘组织);用柠檬酸钠缓冲液(pH6.0)煮沸15min后获得抗原;用3%过氧化氢阻断内源过氧化物酶20分钟;阻断缓冲液(正常山羊血清)37℃30min;用β细胞培养液进行抗体孵育nin)未结合的多克隆抗体在1:400下在4°C下过夜,然后结合二级20分钟,DAB染色。

 

公司优势:
1)质量:我司提供的的试剂为世界。
2)价格:价格实惠,量大从优。
4)服务:提供完整的售前、售后和售中服务。售后到底。

如需订购连环蛋白β1(β-catenin)抗体​​​​​​​​​​​​​​,请联系我们。

Anti-C-erbB-2(HER2/NEU)  c-erbB-2(HER2/NEU)抗体
Anti-C-erbB-4/HER4/erbB-4 (epidermal growth factor receptor4)  c-erbB-4癌基因抗体
Anti-c-fos  即刻早期基因(原癌基因)抗体
anti-CFTR(cystic fibrosis transmembrane conductance regulator)   囊性纤维化跨膜转运调节因子抗体
Anti-CGA(Chromogranin A)  嗜铬粒素A抗体
Anti-CGB(Chromogranin B)  嗜铬粒素B抗体

留言框

  • 产品:

  • 您的单位:

  • 您的姓名:

  • 联系电话:

  • 常用邮箱:

  • 省份:

  • 详细地址:

  • 补充说明:

  • 验证码:

    请输入计算结果(填写阿拉伯数字),如:三加四=7
分享到:
版权所有©2019 上海晅科生物科技有限公司 备案号:京ICP证000000号
  • 扫一扫,关注我们