英文名称:Anti-BMAL1
中文名称:芳香烃受体核转录蛋白样1抗体(BMAL1)
抗体来源:兔子
克隆类型:多克隆
交叉反应:人、小鼠、大鼠、狗、猪、牛、马、羊
产品应用:ELISA=1:500-1000 IHC-P=1:100-500 IHC-F=1:100-500 Flow-Cyt=1ug/Test IF=1:100-500(石蜡切片需做抗原修复)
分 子 量:69kDa
细胞定位:细胞核 细胞浆
状态:冻干或液体
浓度:1mg/ml
来源于:KLH conjugated synthetic peptide derived from human BMAL1:151-250/626
亚型:IgG
纯化方法:affinity purified by Protein A
储存液:0.01M TBS(pH7.4) with 1% BSA, 0.03% Proclin300 and 50% Glycerol.
别 名:ARNT like protein 1 brain and muscle; ARNTL; Aryl hydrocarbon receptor nuclear translocator like; Aryl hydrocarbon receptor nuclear translocator like protein 1; Aryl hydrocarbon receptor nuclear translocator-like protein 1; Basic helix loop helix PAS orphan MOP3; bHLH PAS protein JAP3; bHLHe5; BMAL 1; BMAL1c; Brain and muscle ARNT like 1; cycle; JAP 3; JAP3; Member of PAS protein 3; Member of PAS superfamily 3; MOP3; PAS domain-containing protein 3; PASD 3; PASD3; TIC.
保存条件:在-20°C下保存一年。避免反复冻融。冻干抗体在室温下至少稳定一个月,并在-20°C下保持一年以上。当在无菌pH7.4 0.01M PBS或抗体稀释剂中重组时,抗体在2-4°C下至少稳定两周。
产品介绍:
生物钟振荡器的组成部分,包括cry蛋白质、clock或npas2、arntl或arntl2、csnk1d和/或csnk1e、timeless和per蛋白质。有效的DNA结合需要与另一个bhlh蛋白二聚。电子盒依赖性激活、时钟核易位和降解以及时钟和ARNTL的磷酸化都需要与时钟的异二聚化。与Per和Cry蛋白的相互作用需要转移到细胞核。CLOCK-ARNTL异二聚体与PER或CRY的相互作用抑制转录激活。与hsp90相互作用;在体外与ahr相互作用,但在体内不相互作用。
功能:
ARNTL-CLOCK异二聚体激活昼夜节律钟许多蛋白质的E盒元件(3’-CACGTG-5’)转录。这种转录在反馈回路中被per抑制,也被cry蛋白抑制。
子单元:
与CRY2交互。生物钟振荡器的组成部分,包括cry蛋白质、clock或npas2、arntl或arntl2、csnk1d和/或csnk1e、timeless和per蛋白质。有效的DNA结合需要与另一个bhlh蛋白二聚。电子盒依赖性激活、时钟核易位和降解以及时钟和ARNTL的磷酸化都需要与时钟的异二聚化。与Per和Cry蛋白的相互作用需要转移到细胞核。CLOCK-ARNTL异二聚体与PER或CRY的相互作用抑制转录激活。与hsp90相互作用;在体外与ahr相互作用,但在体内不相互作用。核设施的一部分,也包括GNB2L1/RACK1和PRKCA;GNB2L1和PRKCA以昼夜节律的方式被招募到核设施中。
亚细胞位置:
原子核。
组织特异性:
在成人大脑、骨骼肌和心脏中高度表达。
翻译后修改:
赖氨酸-538与时钟二聚后乙酰化。乙酰化促进Cry1介导的抑制。
磷酸化与时钟二聚化。
与时钟二聚化后,在Lys-259上进行SUM化。
相似性:
包含1个基本螺旋环螺旋(bhlh)域。
包含1个pac(pas关联的C终端)域。
包含2个pas(per-arnt-sim)域。
重要提示:
本产品仅用于研究用途,不用于人类、治疗或诊断应用
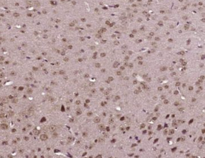
多聚甲醛固定,石蜡包埋(小鼠脑);用柠檬酸钠缓冲液煮沸(15分钟)提取抗原;用3%过氧化氢阻断内源性过氧化物20分钟;阻断缓冲液(正常山羊血清)37℃30分钟;抗体孵育(Ⅱ)多克隆A在4°C下1:400整晚未结合的全身,然后根据SP试剂盒(兔子)说明和DAB染色进行操作。
公司优势:
1)质量:我司提供的的试剂为世界。
2)价格:价格实惠,量大从优。
4)服务:提供完整的售前、售后和售中服务。售后到底。
如需订购芳香烃受体核转录蛋白样1抗体(BMAL1),请联系我们。
| Anti-CGRP (calcitonin gene related peptide) 降钙素基因相关肽抗体 |
| Anti-ChAT(Choline Acetyltransferase) 胆碱乙酰转移酶抗体 |
| Anti-ChRM2 (Muscarinic Acetylcholine receptor M2) 毒蕈碱型乙酰胆碱受体抗体 |
| Anti-ChRM2 (Muscarinic Acetylcholine receptor M2) 毒蕈碱型乙酰胆碱受体M2抗体 |
| Anti-ChRM3 (Muscarinic Acetylcholine receptor M3) 毒蕈碱型乙酰胆碱受体M3抗体 |